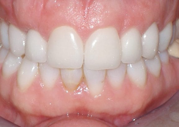
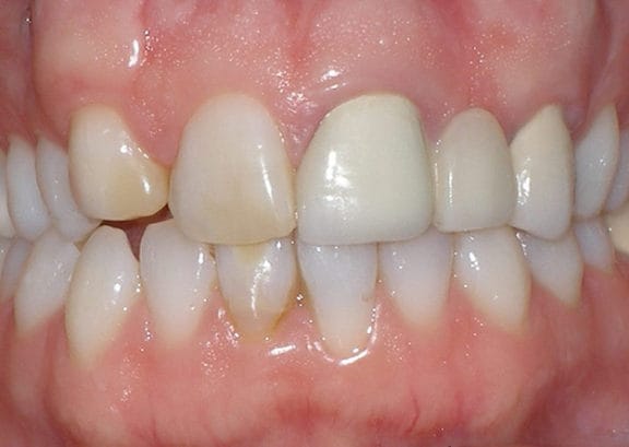
Case 1
This patient had an upper front tooth that was malformed and much too small for the space that was present. The treatment consisted of the removal of this small "baby like" tooth and it was replaced with a dental implant and a cap. Orthodontics was used also to help create the right amount of space for the cap over the implant.


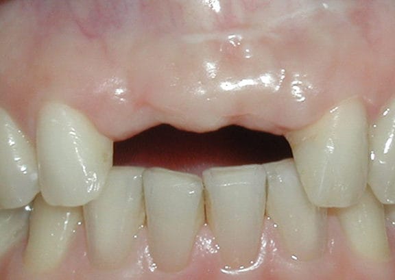
Case 2
This patient was missing her two upper front teeth. Two implants were used to replace the two front teeth as seen here.


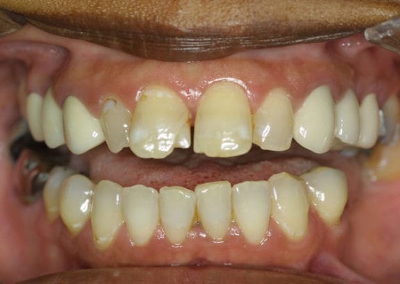
Case 3
Worn and broken teeth replaced with porcelain crowns and veneers.

