What are dental veneers?
Veneers are thin, custom-made shells that cover the front of your teeth. They improve the appearance of your teeth and are made of porcelain, composite resin, or both. Veneers can correct gaps between teeth, crooked or misshapen teeth, discoloration or staining that teeth whitening can't fix, and chips or cracks in the teeth. Veneers are durable, long-lasting, and natural-looking, making them a popular smile-improvement option.


How do you go about getting veneers?
The process of getting dental veneers typically involves the following steps:
- Consultation: An examination of your teeth and gums will be performed to see if veneers are a good option for you. We will also talk about the costs, benefits, and limitations of each type of veneer.
- Preparation: If you proceed with veneers, a small amount of enamel will be removed from each tooth in preparation. This creates space for the veneers and ensures they fit correctly.
- Impression: An impression of your teeth will be taken. To fabricate your veneers, a mold of your teeth will be made from this impression.
- Bonding: Once the lab creates the veneers, we'll bond the veneers to your teeth and fine-tune the fit.
- Follow-up: Future appointments will be scheduled to ensure the veneers are functioning properly and to make any necessary adjustments after they have been placed.

Who are veneers for?
Veneers are for individuals who place a high value on their appearance and take pride in a flawless smile.
Veneers can also protect and strengthen damaged teeth, improving oral health and reducing your risk of tooth decay and gum disease.
- Maybe you've chipped a tooth and are done trying to patch it.
- Maybe your teeth have become discolored, and whitening isn't bringing them back to their original color.
- You may be dissatisfied with the appearance of your smile and seek a permanent straightforward solution.

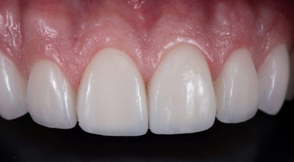
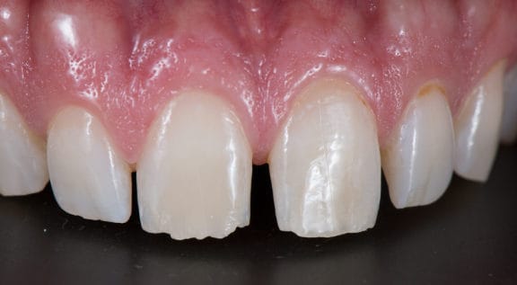
Placing Porcelain Veneers
Veneers are a thin, semi-transparent tooth shaped "shell" that are custom made of porcelain. They are permanently bonded to your natural teeth which are located in your "smile zone" to enhance their shape, color, length or size. Veneers can fix gaps between teeth and/or improve the appearance of teeth that are discolored, misshaped or misaligned.
- The teeth are cleaned and any old surface restorations are removed.
- An impression is taken of the prepped tooth and sent to a lab where the veneer is fabricated.
- The veneer is applied with bonding resin and a curing light.
- After the veneer is set, it is shaped and polished to look like a natural tooth.
Porcelain Veneers...
Giving You a BEAUTIFUL Smile
- Properly done and cared for, porcelain veneers can last 20 years or more.
- Veneers look amazing. Patients are often taken aback by the stunning appearance of their new porcelain veneers.
- Effortless – Veneers require no extra hygiene or additional steps other than caring for your natural teeth.

What About the Cost of Porcelain Veneers?
Cosmetic dental procedures are often thought of as being a dental service that is reserved for Hollywood. Today, this is no longer the case! Porcelain veneers are made very affordable if properly planned and executed. Because each dental case requiring porcelain veneers is unique, pricing them out requires a quick visit to our dental office. John W. Schulz, D.D.S. will work closely with you to ensure your procedure is affordable.
Pick up the phone and call our office at 415.731.9300 or request an appointment online to see just how affordable porcelain veneers are and what the best financial option would be.

Veneers vs. Braces to Straighten Teeth
With some porcelain veneers, it may be possible to give you straighter teeth in just a matter of days instead of years like it would take wearing traditional braces. With this procedure you virtually eliminate the overall treatment time as well as the potential of having uncomfortable brackets, unsightly metal wire and the regular adjustment appointments typically associated with braces. John W. Schulz, D.D.S. specializes in this ground-breaking technique and will be happy to help you create a perfect smile for you. Call our office at 415.731.9300 and ask us about how using porcelain veneers can help you.
