What's In A Name?
Tooth-colored fillings, white fillings and composite resin fillings are all names for the high-strength, natural-looking fillings that can be placed today instead of silver or gold (also known as amalgam fillings). No matter what the name, John W. Schulz, D.D.S. will know just what you're talking about when referring to this natural-looking filling.
Call us at 415.731.9300 or request an appointment online so we can discuss the benefits of white fillings and how they can help improve your smile.

Tooth-Colored Fillings
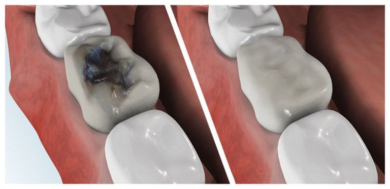
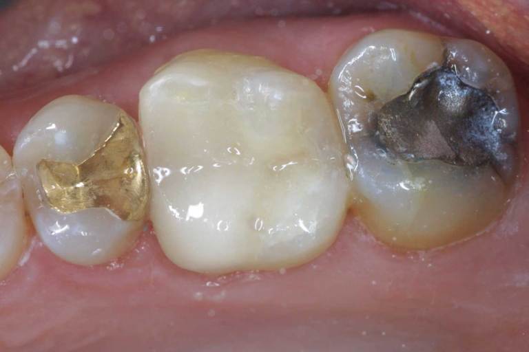
Composite fillings are today's modern filling choice. They are made to match your tooth's natural color to make them virtually invisible to notice and are placed onto the tooth by bonding the filling material to the tooth so they do not have the unlikely chance of falling off. Many patients choose to replace their old silver and gold fillings with composite fillings.
Other Benefits:
- Beautiful in appearance
- Completed in a single visit
- No filling leaks
- Less chance of tooth cracking
Strong and Natural Looking
White fillings are made from a high-strength composite resin that can be easily color-matched to your natural tooth making it nearly invisible to you and anyone else. Unlike silver and gold fillings, composite tooth-colored fillings actually bond to the tooth which means they support the surrounding tooth structure, which helps to prevent breakage and insulate the tooth from excessive temperature changes. You are much less likely to have a composite filling fall out which is a common issue with metal fillings.


Replacing Old Silver Or Gold Amalgam Fillings
John W. Schulz, D.D.S. specializes in beautiful cosmetic dentistry. Metal fillings are often thought of as an eyesore especially with the front teeth that are visible to everyone when you smile. We are able to remove those old metal fillings and replace them with today's white fillings which are nearly identical in color to the teeth that they are in.
Virtually everyone is a candidate to have metal fillings replaced with natural-looking white fillings. Request an appointment online or call our office directly at 415.731.9300 to discuss replacing your old metal fillings with white ones.
How Much Do White Fillings Cost?
As with every dental procedure, prices vary depending on each person's unique treatment situation but white fillings generally cost more than metal fillings. Most patients report back to us that the advantages of white fillings outweigh the price differences because of their natural appearance and unique ability to bond to the teeth.
Are White Fillings Covered Under Dental Insurance?
Many dental insurance plans cover the price of white fillings up to that of metal fillings. John W. Schulz, D.D.S. will gladly check with your dental insurance provider to see just how much they will cover and help you experience white fillings for yourself.
If you are thinking about replacing your old metal fillings with natural-looking white fillings, please call us at 415.731.9300 or request an appointment today. We'll get you in and will go over everything needed to get you on your way to a much more natural looking smile.

Air Abrasion
Whenever possible we use air abrasion rather than a drill. Air abrasion takes less tooth structure than a drill. Air abrasion also eliminates vibration, noise, and the odor associated with a drill procedure.
Your tooth can then be filled with a strong chemically bonded material that can be matched to the color of your tooth making it appear nearly invisible. Tooth colored fillings are beautiful in appearance and can be completed in a single visit.

